夜间模式
  • 10857阅读
  • 2回复

[百姓话题]人工血管植入!昆山市中医医院肾病科实现新突破 [复制链接]

上一主题 下一主题
美女离线北街九猫酱
发帖
1904
昆币
54971 枚
只看楼主 使用道具 电梯直达
楼主  发表于: 2025-08-25 , 来自:江苏省0==


近日

昆山市中医医院肾病科

成功为 83 岁尿毒症血液透析患者徐大爷

实施上臂人工血管动静脉内瘘手术

这不仅为饱受病痛折磨的徐大爷

搭建起维持生命的 “透析通路”

更标志着昆山地区在尿毒症患者

血管通路治疗领域实现新突破!


确诊慢性肾脏病

“生命线” 构建遇难题

徐大爷的病情并非突然发生 —— 他已被糖尿病困扰 20 余年,肾功能异常(肌酐升高)也已伴随 10 年。此次就诊前,他出现持续恶心呕吐、皮肤瘙痒、胸闷气喘等症状,身体状况急剧下滑,遂前往昆山市中医医院肾病科寻求帮助。

经全面检查

关键指标明确了病情的严重性

x

肌酐 580μmol/l:提示肾功能严重损伤;

肾小球滤过率(EGFR)9.6ml/min:低于 15ml/min 即进入尿毒症期,是判断需肾脏替代治疗的核心指标;

血红蛋白 78g/l:尿毒症常见并发症 —— 肾性贫血(肾脏无法正常生成促红细胞生成素导致);

血钾 5.1mmol/l:接近上限,提示存在高钾血症风险(尿毒症患者排钾能力下降,高钾可能引发心律失常);

血磷 1.8mmol/l:数值升高,为尿毒症常见的高磷血症(肾脏排磷障碍,长期高磷会损伤骨骼和心血管);

甲状旁腺激素(PTH)310pg/ml:显著升高,提示继发性甲状旁腺功能亢进(肾功能衰竭导致钙磷代谢紊乱,刺激甲状旁腺增生);

脑钠肽(BNP)20000pg/ml:数值骤升,提示严重心功能不全(尿毒症患者水钠潴留、肺水肿,加重心脏负担);

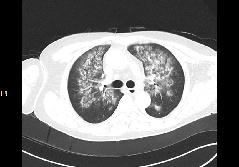
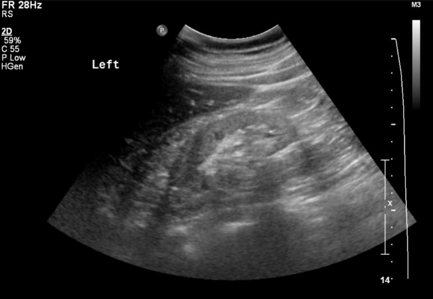
胸部 CT 显示 “两肺水肿”,双肾 B 超提示 “双肾回声增强、边界模糊”,进一步印证慢性肾损伤与心功能受累。

▲患者影像学检查


最终,徐大爷被确诊为慢性肾脏病 5 期(CKD5 期),也就是老百姓常说的 “尿毒症期”,急需通过肾脏替代治疗延续生命。

血液透析的核心前提是建立 “血液通路”—— 即连接患者身体与透析机的 “桥梁”,让血液能顺利进出完成净化。

医生随即对徐大爷的上肢血管进行评估,结果却不理想:双手前臂桡动脉仅 1.5mm、头静脉不足 1mm,上臂贵要静脉也仅 1.2mm(血管过细无法满足透析所需的血流速度),完全不具备建立自体动静脉内瘘(血液透析的首选通路)的条件。

面对这一困境,肾病科血管通路组迅速展开讨论,最终决定为徐大爷实施 “上臂人工血管动静脉内瘘” 手术,这也是昆山地区首次开展该类手术。



为何选择人工血管?

适配性是关键!

不少人会疑问

既然自体动静脉内瘘

是血液透析通路的首选

为何徐大爷不能用?

核心原因在于 “血管条件不匹配”

  • 自体动静脉内瘘:通过手术将患者自身动脉与静脉直接连接,让静脉逐渐变粗、管壁增厚,形成可反复穿刺的 “天然通路”。其优点是感染风险低、并发症少、使用寿命长,但对自身血管的粗细、弹性要求极高,徐大爷的血管条件显然无法满足。

  • 人工血管动静脉内瘘:当自身血管条件差时,采用医用人工材料制作的 “替代血管”,通过手术植入体内连接动脉与静脉,同样能实现血液透析的 “通路功能”,是自体内瘘的重要补充方案。

简单来说,自体内瘘是 “用自己的‘零件’搭建桥梁”,人工血管则是 “用适配的‘优质零件’搭建桥梁”—— 对徐大爷而言,后者是唯一能快速建立 “透析生命线” 的选择。



100 分钟精准操作

“U 型通路” 打通生命通道

在完善术前准备后,昆山市中医医院肾病科团队为徐大爷正式实施手术,全程围绕 “安全、通畅” 精准推进:

x

  • 确定通路位置:选择上臂的肱动脉作为 “血液流入道”(为透析提供血液的动脉),相邻较粗的肱静脉作为 “血液流出道”(净化后血液回流的静脉);

  • 麻醉与切口:采用臂丛麻醉(仅让上臂区域失去痛觉,降低手术痛苦),在选定血管上方做 5 厘米纵行切口,小心分离出需吻合的肱动脉与肱静脉;

  • 植入人工血管:用隧道器在上臂构建 “U” 形通道,将人工血管顺利植入,确保血管走形顺畅、无压迫;

  • 精准吻合:先后完成人工血管与静脉、人工血管与动脉的吻合,确保接口严密、血流无渗漏。


整台手术仅用 90 分钟便顺利完成,术后医生触摸徐大爷上臂内瘘部位,能清晰感知到动静脉内瘘震颤(轻微震动感,是内瘘血流通畅的核心标志)—— 这意味着,徐大爷的 “透析生命线” 成功打通。



不是偶然成功

是厚积薄发的必然

“面对徐大爷复杂的血管条件,我们从一开始就没考虑请外援。” 肾病科主任马毓华表示,此次手术的成功并非偶然,而是科室多年技术积累与多团队协作的结果:

从术前的 “精细评估”(通过血管超声、功能检测明确血管情况,结合各项化验指标判断手术耐受度),到术中的 “精准操作”(血管分离、人工血管吻合均严格遵循标准化流程),再到术后的 “严密监测”(重点观察内瘘震颤、预防感染与电解质紊乱),已形成 “闭环式管控”;



知识点链接

血液透析的 3 种 “通路”,怎么选?

血液透析的 “通路” 是尿毒症患者的 “生命线”,目前主要有 3 种类型,各有适用场景:

“我们并非为了‘追求首例’,而是希望让更多像徐大爷这样的尿毒症患者知道 —— 在昆山本地,也能获得规范、高质量的血管通路治疗,不用奔波就能建起‘透析生命线’。” 肾病科马毓华表示,让患者在家门口安心治病,是他们不断精进技术的初心。


本期专家

中医献温馨·健康进万家


马毓华

肾病科科主任

副主任医师,博士


个人简介

  • 现任中国中医药发展协会肾脏病分会青年委员;中国非公协肾脏病透析专业委员会腹膜透析分委会委员;江苏省中医学会肾脏病分会青年委员;江苏省中西医结合学会肾脏病分会委员;江苏省医学会肾脏病分会肾小球疾病组成员;苏州市医学会肾脏病分会委员;苏州市医学会血液净化分会委员;苏州市中医学会肾脏病分会委员;苏州市中西医结合学会肾脏病分会委员;昆山市医学会肾脏病分会副主任委员。

  • 擅长各类原发性(各类肾小球肾炎)及继发性肾脏病(包括糖尿病肾病,高血压肾病,自身免疫疾病如狼疮肾炎等,单克隆免疫球蛋白肾病)的诊治;擅长急性及慢性肾功能不全以及危重症肾脏病的诊治;擅长尿毒症肾脏替代治疗:包括血液透析治疗(包括血管通路的建立和维护,血液透析各种模式包括透析、滤过、灌流、血浆置换以及人工肝等)、腹膜透析治疗;

  • 主持和参与省市级课题4项,发表国内外核心期刊20余篇。



来源:昆山市中医医院


本帖评分记录
人生漫步 昆币 +1 -来自昆山论坛APP 2025-08-26
不再缄默 昆币 +1 -来自昆山论坛APP 2025-08-26
高维豪 昆币 +1 -来自昆山论坛APP 2025-08-25
3条评分昆币+3
爆料有奖!关注昆山论坛抖音号,抖音搜索“昆山论坛”,或搜索抖音号:ksbbs
 
离线古道边
级别: 禁止发言
发帖
17467
昆币
8990 枚
沙发  发表于: 2025-08-25 , 来自:江苏省0==
用户被禁言,该主题自动屏蔽!
爆料有奖!关注昆山论坛抖音号,抖音搜索“昆山论坛”,或搜索抖音号:ksbbs
 
帅哥离线jztlqyd007

发帖
15912
昆币
54787 枚
板凳  发表于: 2025-08-25 , 来自:江苏省0==
    


技术越来越好!!
爆料有奖!关注昆山论坛抖音号,抖音搜索“昆山论坛”,或搜索抖音号:ksbbs
 
快速回复
限76 字节
批量上传需要先选择文件,再选择上传
 
上一个 下一个