夜间模式
  • 696阅读
  • 0回复

[百姓话题]胸闷气短、反复头晕,未必只是年纪大了:两位八旬老人先后查出高危主动脉瓣狭窄 [复制链接]

上一主题 下一主题
离线南栀北辰
发帖
1363
昆币
25003 枚
只看楼主 使用道具 电梯直达
楼主  发表于: 昨天 17:32 , 来自:江苏省0==

很多人觉得,上了年纪后出现胸闷、气短、头晕、乏力,是体力差了、恢复慢了,忍一忍也就过去了。 但临床上,有些看似普通的不适,背后牵出的并不只是一个问题,可能同时涉及心功能下降、主动脉瓣重度狭窄、严重冠状动脉病变,甚至还叠加贫血、骨折后活动受限等多重风险。

近期,昆山市中医医院心血管科团队连续完成两例高风险主动脉瓣疾病介入治疗。

一例患者在心衰加重的背后,同时合并主动脉瓣重度狭窄和冠脉严重钙化病变,团队采取分阶段方案,先处理冠脉,再实施经导管主动脉瓣置换术。

另一例患者主动脉瓣口面积仅0.2cm²,合并重度钙化二叶瓣、小心室及帕金森病,整体风险极高,最终也顺利完成治疗。

这两例病例再次提醒我们,老年人反复出现胸闷、气短、头晕、活动后乏力时,不能简单归因于年龄增长,及时、系统的评估很重要。



胸闷气短突然加重

检查越做越不简单

81岁的张老先生因胸闷、气短突然加重来到医院,急诊以心力衰竭收入院。进一步检查后,医生发现,他面临的并不只是心衰加重,还同时合并主动脉瓣重度狭窄、冠状动脉严重钙化病变,并伴有缺铁性贫血、近期腰椎骨折等情况。高龄、多病并存,让整个评估和治疗过程明显更复杂。

继续追问病史后,医生了解到,张老先生既往有冠心病病史,长期服用相关药物;同时长期存在缺铁性贫血,原本规律补铁,但近期中断。两个月前,他又因腰椎骨折接受保守治疗,目前仍在恢复期。多种因素叠加,也让这次发病不再是一个单纯的心脏问题。

x

  • 心力衰竭:指心脏泵血能力下降,不能很好满足身体需要,常表现为胸闷、气短、乏力等。

  • NT-proBNP:反映心脏负担的重要指标,数值升高常提示心衰风险增加。

  • 缺铁性贫血:由于缺铁导致血红蛋白下降,可能引起乏力、气短,也会增加心脏负担。

进一步检查显示,患者存在主动脉瓣重度狭窄并中度反流。超声心动图提示,主动脉瓣口面积约0.8cm²,同时伴有室壁节段性运动异常、左房及左室增大,左室收缩和舒张功能减退,左室射血分数为46%。此外,还可见二尖瓣轻度反流、三尖瓣轻至中度反流及轻度肺动脉高压。

这些结果提示,患者的心脏并不是只出了一个问题。主动脉瓣重度狭窄会影响心脏向全身泵血,心功能下降又进一步增加围术期处理难度。对于高龄患者来说,这样的情况更需要整体评估,而不是只盯着单一病变。

x

  • LVEF:左室射血分数,是评估心脏收缩功能的重要指标。

  • 主动脉瓣重度狭窄:主动脉瓣开口明显变窄,会影响心脏向全身泵血。

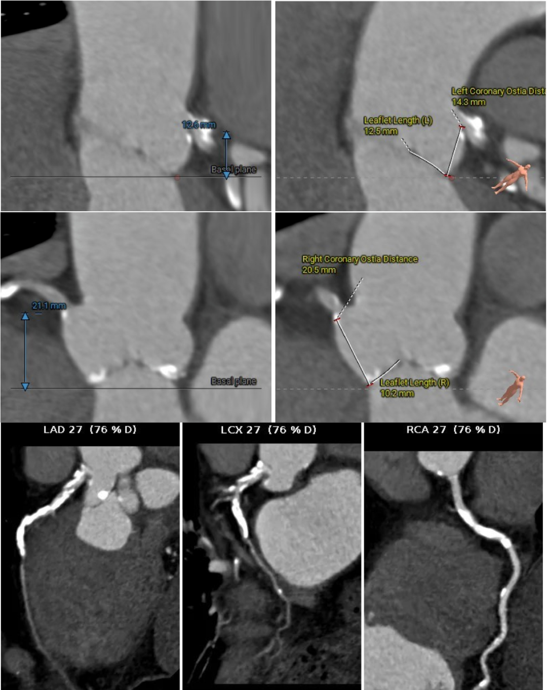
术前CT评估显示,患者瓣膜解剖条件总体具备经导管治疗基础,双侧冠脉阻塞风险偏低。

但与此同时,CT也提示患者存在冠状动脉三支严重钙化病变。也就是说,除了主动脉瓣问题外,供应心脏本身的血管也已经出现明显病变。如果不先处理冠脉问题,后续瓣膜治疗中的风险会进一步上升。

更现实的是,患者年龄较大,又合并贫血、近期骨折,整体情况并不适合外科开胸手术。如何在现有条件下安排更稳妥的治疗顺序,成为救治过程中的关键。

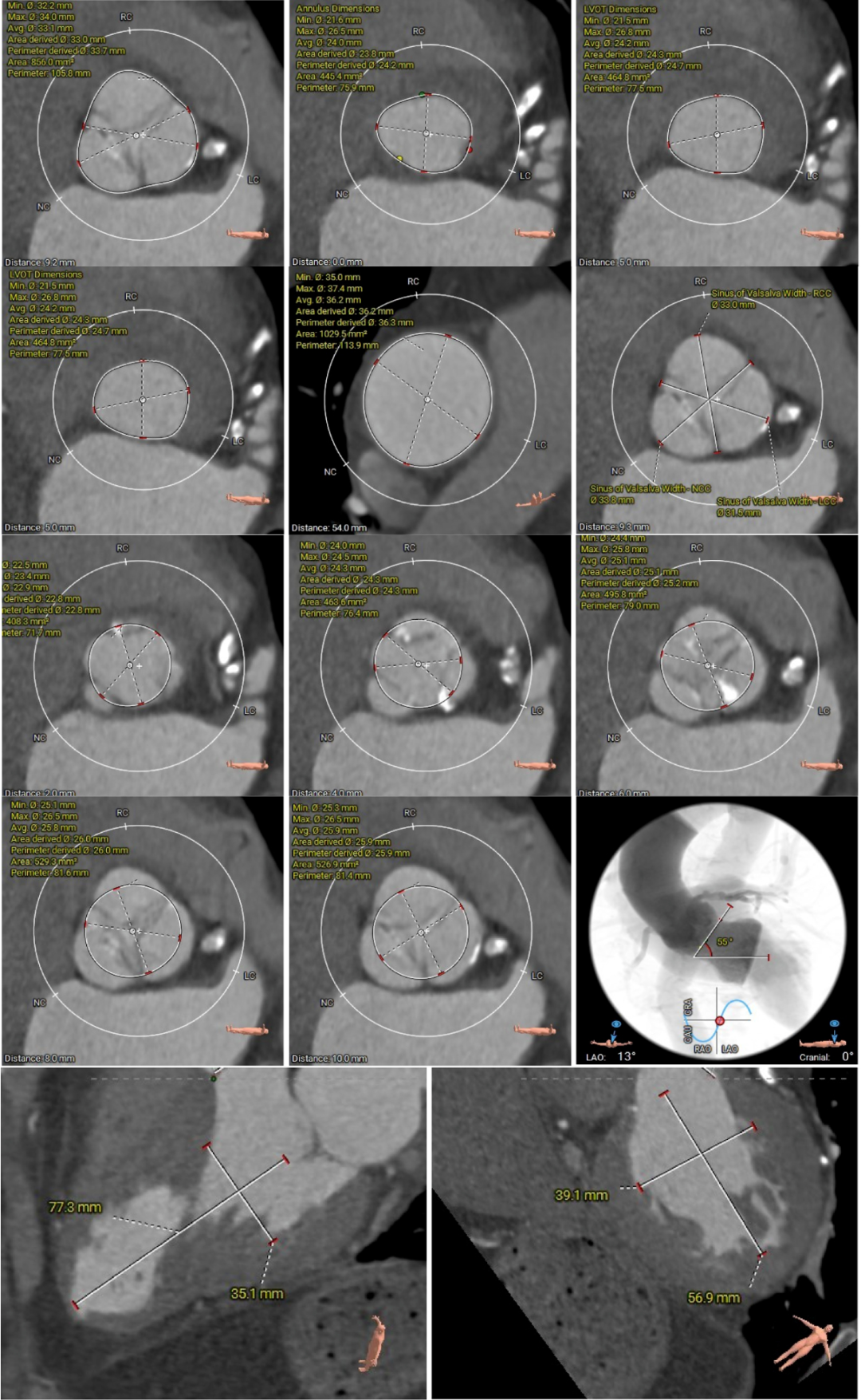
▲瓣膜评估

▲冠脉评估

▲入路评估

x

  • 冠状动脉三支病变:指三支主要冠状动脉都存在明显病变。

  • 钙化病变:病变部位因钙盐沉积而变硬,会增加介入治疗难度。


分两步走,不求一次做完,但求更稳妥

这次治疗,关键在于先后顺序。面对主动脉瓣重度狭窄和冠脉严重钙化这两道难题,潘文教授带领团队没有选择风险更高的同期处理,而是决定分两步进行。

第一步,先实施冠脉旋磨及介入治疗,尽可能改善心肌供血,为下一步治疗创造更稳定的循环条件。

第二步,待张老先生情况平稳后,再实施经导管主动脉瓣置换术,进一步解决主动脉瓣狭窄问题。

对于这类复杂病例来说,治疗重点并不是把所有操作集中在一次完成,而是根据病情轻重缓急,把每一步安排在更合适的时机。

第一阶段,团队先为张老先生进行冠脉造影及介入治疗。结果显示,患者左前降支存在慢性完全闭塞病变,并伴有严重扭曲和钙化,常规处理难度较大。

在充分评估后,团队先对病变部位进行旋磨处理,再完成后续介入治疗。术后,张老先生病情稳定,未再出现心绞痛发作,也为后续主动脉瓣置换争取了更安全的条件。

CAG-LCA-1

CAG-LCA-2

CAG-RCA-1

CAG-RCA-2

▲冠脉造影:LAD-CTO病变,严重扭曲、钙化

▲开通,扭控MC

▲旋磨

▲术后

▲术后

▲术后

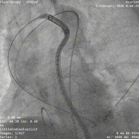
冠脉治疗后一周,张老先生整体状态平稳,进入主动脉瓣置换阶段。团队从股动脉建立通道,将人工瓣膜送至主动脉瓣位置。结合术前评估结果和术中情况,这次手术未进行球囊预扩张,而是直接完成瓣膜释放。

术中,因患者主动脉弓形态较复杂,器械通过一度受阻。团队根据术中情况及时调整策略,最终顺利完成过弓、跨瓣和瓣膜释放。造影及经胸超声显示,瓣膜位置理想、功能良好,左右冠脉血流通畅,未见瓣周漏及血管并发症。

▲根部造影

▲血管扭曲预塑形导丝支撑不足

▲更换导丝后过弓过瓣

▲初始定位

▲左右重合位评估

▲左冠切线位评估

▲最终瓣膜造影

▲入路检查


术后复查显示,患者胸闷、气短症状明显缓解,心功能逐步改善。这例手术也成为江苏省县域首例由同一心血管科团队完成的冠脉旋磨加TAVR分阶段治疗案例。



类似高危病例并非个例

瓣口仅0.2 cm² 治疗难度再次升级

如果说第一例患者的难点

在于多种病变叠加

那么第二例患者的风险

则更多体现在瓣膜本身“

窄得很厉害、硬得很明显、通过很困难”

近日,昆山市中医医院心内科团队又成功为一名82岁高龄患者实施经导管主动脉瓣置换术。该患者主动脉瓣口面积仅0.2cm²,而正常成人主动脉瓣口面积一般约为3至4cm²。与此同时,患者还合并重度钙化的二叶式主动脉瓣、轻中度反流,左心室腔径偏小,并有帕金森病病史。多重高危因素叠加,意味着术中导丝跨瓣难度大,循环波动耐受差,整体风险很高。

患者为男性,82岁,近两年来反复出现头晕不适,并曾发生多次晕厥;近两个月来又间断出现胸闷不适,多在体力活动时发作,休息后可缓解。此次到院检查发现,NT-proBNP升高,心超提示主动脉瓣重度狭窄合并轻中度反流。

▲患者心超

▲患者心电图

进一步回顾病史可见,患者两年多前开始反复头晕,曾因伴有黑蒙、站立不稳等表现,多次在相关专科就诊,并一度按后循环缺血方向接受治疗。直到后续检查中,主动脉瓣病变的严重程度逐渐显现出来。

这个过程也提示临床上一个容易被忽略的问题:老年人反复头晕、晕厥,不一定都是神经系统问题,也要警惕严重瓣膜病。


术前评估越细,术中把握才越稳

进一步评估显示,患者瓣膜狭窄程度重,瓣叶钙化明显,左心室腔径偏小,手术中对器械通过、瓣膜释放以及循环稳定性的要求都更高。团队结合术前影像和整体身体状况,制定了周密的介入治疗方案,并做好相关风险预案。

CT评估


瓣膜评估


手术过程

手术当天,团队顺利完成经导管主动脉瓣置换术。术中瓣膜释放位置理想,人工瓣膜功能良好,未见明显瓣周漏,也未出现严重传导阻滞、恶性心律失常等情况,患者术后安返CCU病房。

▲导丝跨瓣

▲18mm球囊预扩

▲输送器过弓

▲瓣膜定位

▲释放至工作位

▲工作位造影

▲脱钩

▲20mm球囊后扩

▲最终造影


术后复查

术后复查显示,患者瓣膜功能改善明显,最大跨瓣压差较术前明显下降,峰值流速同步改善。术后第3天,患者已可在家属搀扶下下地活动,胸闷、头晕等症状较前缓解,随后顺利出院。



两个病例,一个提醒

有些“不舒服”,不能一直拖

回头看这两位老人,一位以胸闷、气短加重来院,结果查出心衰、主动脉瓣重度狭窄和严重冠脉病变并存;另一位反复头晕、晕厥两年多,最终发现真正的关键问题是极重度主动脉瓣狭窄。 表现不同,病情复杂程度不同,但共同点很明确:高龄患者出现胸闷、气短、头晕、乏力、活动耐量下降时,不能简单归结为年纪大了。尤其是合并贫血、长期卧床、基础病较多,或曾有晕厥发作的人群,更应尽早到医院进行系统评估。是否需要先处理冠脉,是否适合TAVR,是否应采用分阶段治疗,都需要由专业团队结合病变特点、影像评估和整体身体状况综合判断。对复杂病例来说,合适的治疗顺序,本身就是治疗成功的重要一环。


本期作者


常成 心血管科主治医师

医学硕士,现任江苏省中西医结合学会活血化瘀专业委员会青年委员;昆山市中医医院胸痛中心协调员。有丰富的临床及科研经验,参与各级课题、GCP项目多项,发表论文数篇,尤其擅长冠心病、高血压、心脏瓣膜病的介入治疗技术。


审核专家


潘 文

主任医师 心血管科主任

硕士生导师,中国医药教育协会胸痛专业委员会委员;江苏省中西医结合学会心血管专业委员会委员;江苏省中医药学会心系疾病专业委员会委员;苏州中医药学会心血管专业委员会副主任委员;苏州市医学会心血管病学专业委员会委员;苏州市医学会胸痛专业委员会委员;昆山市医学会心血管病学专业委员会副主任委员;加拿大St. Michael's Hospital 访问学者。

擅长心血管内科常见病、多发病、疑难病的诊治,尤其是冠心病、高血压病介入治疗。

门诊时间:周二全天及周四下午。




徐海祥

主任医师 导管室副主任

昆山市心血管病学专业委员会委员兼秘书;昆山市心血管病学专业青年委员会副主任委员;苏州市络病专业委员会副主任委员;苏州市医学会心血管病学分会血脂代谢学组成员;苏州市医学会内分泌学分会代谢性心脑血管疾病学组委员;江苏省中医药学会高血压病专业委员会委员;中国医药教育协会胸痛专业委员会委员;近5年发表SCI、核心期刊发表论文6篇。

擅长心血管科常见病、疑难危重疾病的诊治;擅长冠心病、急性心肌梗死的介入治疗;年独立完成各类介入手术1000余例。

门诊时间:周一全天。



来源:昆山市中医医院


爆料有奖!关注昆山论坛抖音号,抖音搜索“昆山论坛”,或搜索抖音号:ksbbs
 
快速回复
限76 字节
批量上传需要先选择文件,再选择上传
 
上一个 下一个