夜间模式
  • 15728阅读
  • 0回复

[昆山要闻]昆山市一医院肿瘤诊治CCC模式——一站式诊疗和全周期管理 [复制链接]

上一主题 下一主题
离线预见
发帖
3311
昆币
58122 枚
只看楼主 使用道具 电梯直达
楼主  发表于: 2025-02-17 , 来自:江苏省0==

王女士(化名),半年前发现右乳肿物

没有引起重视,近来发现肿块明显增大

来到昆山市一医院乳腺科门诊就诊

检查后发现肝部多发占位

经过穿刺后病理确诊乳腺癌伴肝脏转移

患者及家属顿感绝望


常规的肿瘤诊疗过程

需涉及甲乳外科、肝胆外科

及肿瘤科等多专科阶段性诊疗


近期,昆山市一医院

整合全院优势专科资源

组建肿瘤诊治中心(CCC)平台

多学科专家共同评估病情风险

制定精准、个性化肿瘤综合治疗方案

实现肿瘤患者全流程全周期闭环管理

提供专业、连贯性“一站式”诊疗服务


图片


经过与家属详细沟通后

甲乳外科副主任周沁团队将病人病情

提交至医院肿瘤综合诊治中心(CCC)

该中心为王女士系统定制个性化治疗方案


图片
图片
图片
图片


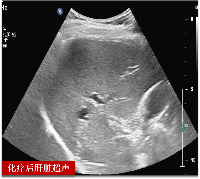
两个周期的化疗后

超声检查提示肝脏肿瘤完全消失

乳房肿瘤较前缩小

王女士及家属对治疗充满了信心

同时为该中心的服务点赞

“CCC的服务

都是医生围着我制方案,

避免让我到处跑!

在这里,我心里很踏实!”



CCC是一种极具创新的肿瘤诊疗模式

以多学科协作为核心手段

打破传统单一科室诊疗的局限

进一步提升肿瘤诊疗水平和服务能力

为患者提供全流程全周期的健康服务




·来源:昆山市第一人民医院

爆料有奖!关注昆山论坛抖音号,抖音搜索“昆山论坛”,或搜索抖音号:ksbbs
 
快速回复
限76 字节
如果您提交过一次失败了,可以用”恢复数据”来恢复帖子内容
 
上一个 下一个