夜间模式
  • 13950阅读
  • 2回复

[昆山要闻]罕见病例!百万分之一发病率,昆山市二院骨科帮助黑尿病患者重获“膝”望 [复制链接]

上一主题 下一主题
离线羡鱼
发帖
3186
昆币
62693 枚
只看楼主 使用道具 电梯直达
楼主  发表于: 2024-01-15 , 来自:江苏省0==

见过会变色的蜥蜴

见过太阳下会变色的泡泡

那你见过尿会变色吗

图片

尿液是黑的 骨头是黑的

连耳朵边缘和眼底巩膜

都有色素沉着

......


病例分享




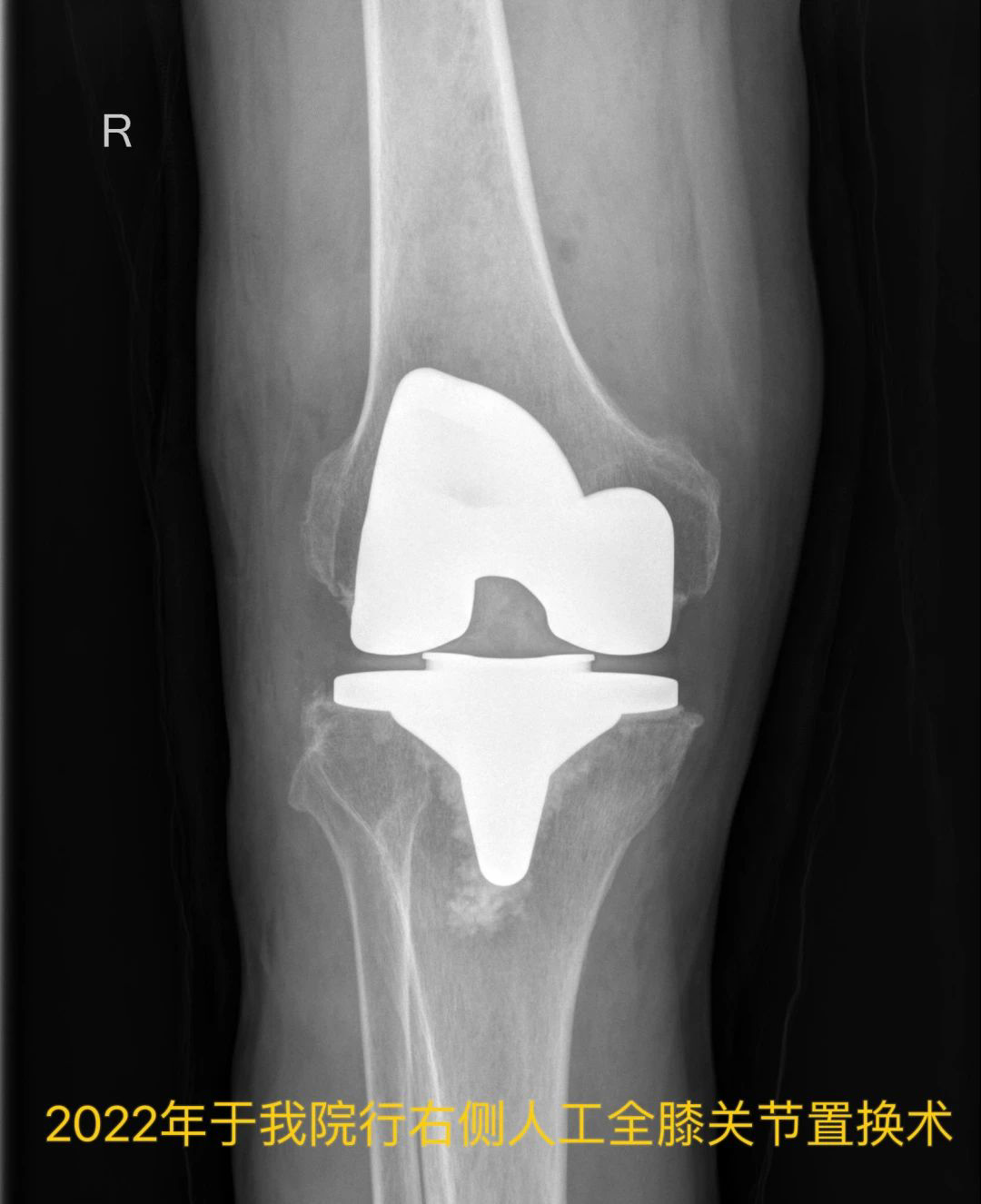
今年64岁的王大爷(化姓),双侧髋、膝关节疼痛十余年,六年前因“腰腿疼痛”于上海长征医院行腰后路减压植骨融合内固定术,同年于上海新华医院内分泌/遗传科行基因检测诊断为“黑尿病”,四年前因“左髋疼痛”于我院行“左侧人工全髋关节置换术”,一年前因“右膝疼痛”于我院行“右侧人工全膝关节置换术”。

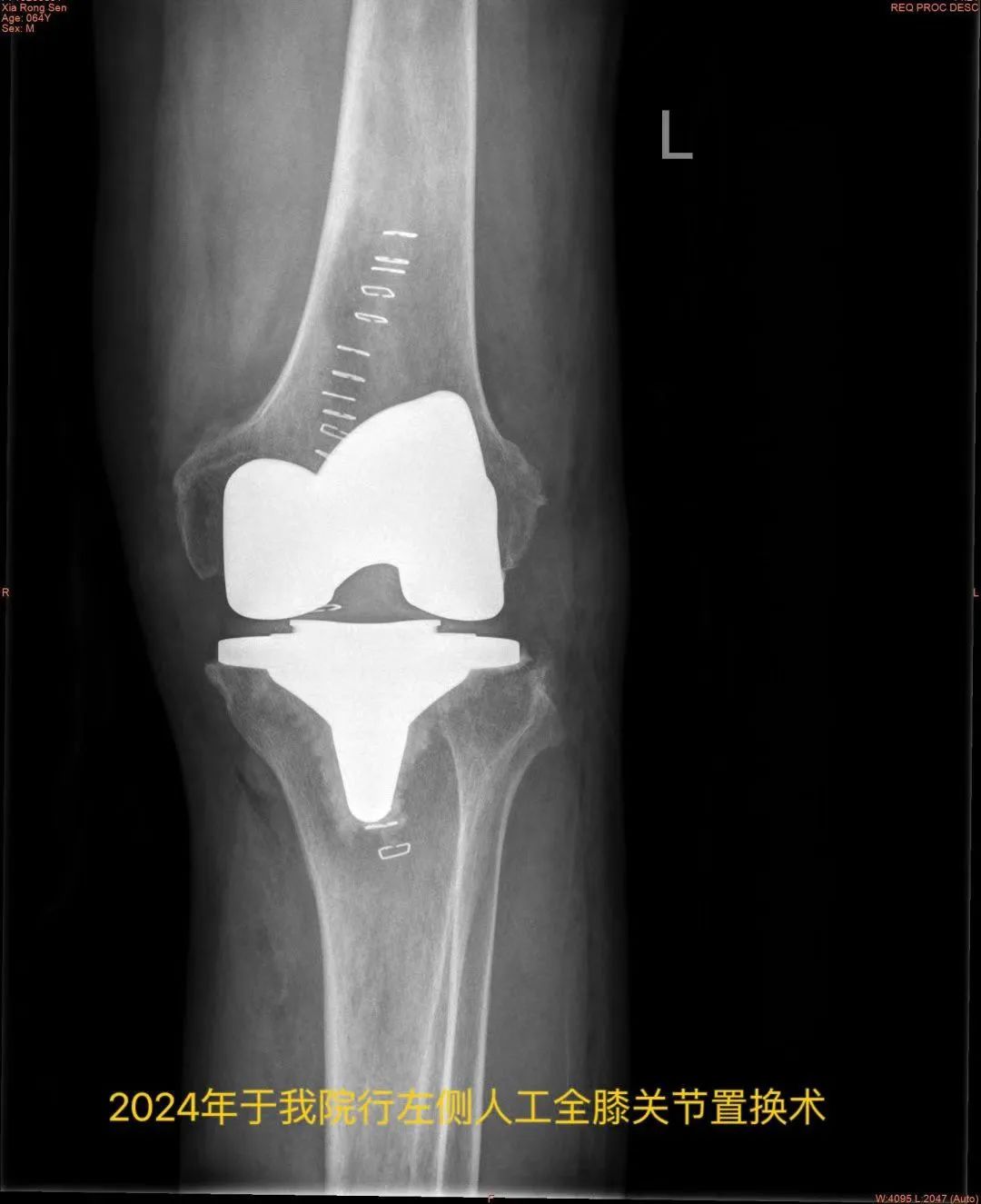
近日,王大爷因“左膝关节步行活动后疼痛加剧”门诊拟“黑尿病性膝关节炎”再次入住我院骨科,入院后查体:全身皮肤出现黑色素沉着,以面部及耳廓皮肤黑色斑块沉着明显,左膝关节周围肿胀,有压痛,左膝关节屈曲100°,伸直约10°(正常膝关节活动度为屈曲135°,伸直0°)。


与患者及家属充分沟通后

骨科副主任医师陆文青为

患者进行了周密的术前准备

并制定完善的手术预案

历经1.5小时

骨科团队成功为

王大爷实施了左侧人工全膝关节置换术

图片
图片


术中见滑膜及软骨组织大量

黑色物质沉积伴软骨破坏

现患者术后第三天

可下地行走进行康复训练

复查示左膝关节假体位置良好

图片
图片
图片
图片



知识多一点

图片

尿黑酸尿症( Alkaptouria) 又称为黑尿病、褐黄病是一种罕见的常染色体隐性遗传性病。Garrod于1908年首次报道其遗传方式。国外报道发病率为百万分之一,因机体缺乏尿黑酸氧化酶,使苯丙氨酸和酪氨酸的中间代谢产物尿黑酸不能被进一步氧化分解而随尿排出,在尿液中氧化,使尿呈黑色而得名。近亲联姻子女发病率高,男性患者约为女性的两倍。患者在童年时通常没有明显的症状。然而,在40-60岁时,可能开始表现为巩膜或耳廓周围的棕色或深色色素沉着。


图片
图片


骨科主任 徐宏扣

关节疾病是黑尿病病情发展的最终结果,也是疾病致残的主要原因。随着病情的发展,它会累及关节软骨以及重大关节和大脊椎,所以黑尿病患者不可避免地会有慢性退行性关节病。也正是因为如此,该病在临床中极易引起误诊、误治!


对于少见的症状

罕见的临床表现

大家不可忽视

早发现 早干预 早治疗

要相信科学 身体最重要


来源:昆山市第二人民医院

本帖评分记录
高维豪 昆币 +1 -来自昆山论坛APP 2024-01-15
1条评分昆币+1
爆料有奖!关注昆山论坛抖音号,抖音搜索“昆山论坛”,或搜索抖音号:ksbbs
 
美女离线企退居民
级别: 昆山名人
发帖
33875
昆币
66932 枚
沙发  发表于: 2024-01-15 , 来自:江苏省0==
少见多怪
爆料有奖!关注昆山论坛抖音号,抖音搜索“昆山论坛”,或搜索抖音号:ksbbs
 
帅哥离线新时代养蜂人
发帖
10863
昆币
12881 枚
板凳  发表于: 2024-01-15 , 来自:江苏省0==
黑色尿,别吓我!
爆料有奖!关注昆山论坛抖音号,抖音搜索“昆山论坛”,或搜索抖音号:ksbbs
 
快速回复
限76 字节
如果您提交过一次失败了,可以用”恢复数据”来恢复帖子内容
 
上一个 下一个