夜间模式
  • 4583阅读
  • 1回复

[百姓话题]漫谈肿瘤丨不开刀也能治肿瘤?揭秘这把“隐形手术刀” [复制链接]

上一主题 下一主题
离线凉瞳
发帖
1147
昆币
20390 枚
只看楼主 使用道具 电梯直达
楼主  发表于: 02-06 , 来自:江苏省0==

漫谈肿瘤

Brief Discussion on Tumors

2026/02/06

不开刀也能治肿瘤?

今日主题

当"肿瘤"成为第一诊断,慌乱与迷茫常如潮水般涌来。但请相信,这并非命运的最终宣判。我们将带您重新认识这位"不速之客":化疗不是洪水猛兽,靶向治疗藏着基因密码,免疫治疗正唤醒人体自愈力,而中医千年智慧始终为生命续航。

肿瘤治疗早已不是非黑即白的战场,精准医学的显微镜下,每个病例都是独特的生命叙事。医患同心共筑防线,科学为伴贯穿防治,关注【漫谈肿瘤】,让我们以科学为舟,穿越认知的迷雾海;以希望为帆,驶向健康的新航程。


倪大爷最近很不开心

非常焦虑

原来是他4年前得了

肺癌伴全身广泛转移

当时以为没救了

经过免疫联合化疗多程治疗后

肺部病灶控制稳定

但没想到

原本已稳定1年的颅内孤立转移灶

在逐渐长大

从1cm长到了1.8cm

外科医生建议开颅手术

……


倪大爷和家里人都很担心,开颅损伤大,而且针对这么小的病灶,手术定位要求极高。来到昆山市中医医院肿瘤科,医生介绍说有一种“隐形手术刀”——立体定向放疗,不用开颅也能精准打击颅内肿瘤。那是不是有这么神奇?老倪想了解一下。


01 啥是立体定向放疗

立体定向放疗,是一种高度精准的放射治疗技术。它借助先进的四维定位和影像引导技术,能够精准地将多束高剂量射线从不同角度聚焦于肿瘤部位,实现对癌细胞的精准摧毁,同时最大限度地保护周围正常组织免受伤害。

这种技术如同配备高精度定位系统的精确制导武器,能够在复杂的抗癌战场上实施精准的“外科手术式”打击。

什么是“四维定位”?

普通定位是“长、宽、高”三维,而第四维指的是“时间”。因为患者呼吸或肠道蠕动会导致肿瘤位置轻微移动,四维定位技术能捕捉这种运动,让射线“随动而发”,确保不脱靶。


02 它会伤害正常组织吗?

放疗医生会用以下“三大法宝”保护好患者的健康细胞。

1、精准定位与体位固定

在放疗前,医生会为患者进行模拟定位,选择合适体位并使用热塑膜、真空垫、发泡胶等材料为患者量身定做固定模具,以减少治疗过程中体位移动,确保射线仅照射肿瘤区域,避免误伤周围正常组织。

2、靶区勾画与计划设计

医生会联合多模态影像融合技术,配合AI自动勾画正常组织,精准识别肿瘤病灶;在CT或MRI图像上精确勾画肿瘤靶区及邻近的重要器官(如肺、心脏、脊髓等),并与物理师合作设计个体化的放疗计划,尽量降低正常组织所接受的辐射剂量。

“多模态影像融合”:简单说,就是把CT(看骨头清楚)和MRI(看软组织清楚)等多张片子叠在一起看,像“透视眼”一样,让肿瘤边界无处遁形,医生画靶区更准。

“物理师”是谁?如果医生是“建筑设计师”,物理师就是“结构工程师”。他们通过精密计算和质控,确保机器发出的射线剂量、角度与医生的处方分毫不差。


3、采用先进放疗技术

立体定向放疗技术可以实现放疗的精准化,多角度的辐射束形成一个立体的剂量分布,确保高剂量的辐射集中在肿瘤上。治疗时图像引导实时监控,及时发现并纠正患者体位的微小变化,提高治疗的精准度,较普通放疗更好地保护周围正常组织。


03 立体定向放疗疼不疼?

放疗虽被称为“隐形手术刀”,其本身并不会痛,治疗时患者没有任何感觉,既不需要麻醉,也不会留下伤口。

通常在1-5次治疗内完成,每次治疗需要5~15分钟,患者只需安静地躺在治疗床上,保持体位不动即可。


04 治疗后体内有辐射吗?

放疗就像“手电筒照墙”,灯关了,光也就没了。射线从体外机器发出,穿透身体照射肿瘤,射线只在设备运行时存在。治疗结束后,患者体内不会有辐射残留,患者不会变成“放射源”,无需隔离,可正常接触家人,包括孕妇和儿童。

倪大爷了解了立体定向放疗后

心定了很多

在肿瘤科医生安排下

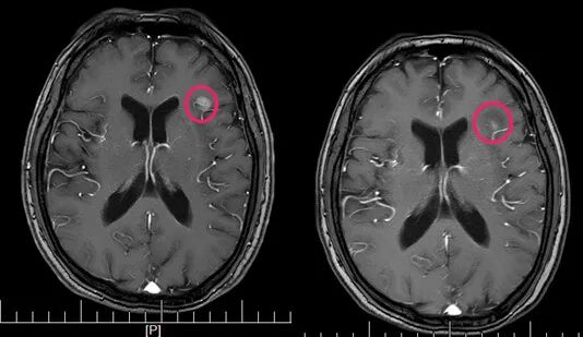
做了头部病灶的立体定向放疗2次

后定期复查

颅内病灶逐渐在缩小

老倪的心情又好了起来

▲治疗前

▲治疗前


昆山市中医医院肿瘤科是江苏省中医临床重点专科,集化疗、免疫、放疗、靶向及中医等综合治疗为一体,是江苏省肿瘤康复联盟单位。

科室已开展肿瘤放射治疗20余年,放疗中心装备精良,拥有国际先进的瑞典ELEKTA医用直线加速器,并引进了国内首台小型集成型质子加速器(正处于安装调试阶段/已完成安装),能开展三维适形放疗、三维调强放射治疗(IMRT)、图像引导下放疗(IGRT)、容积调强放疗(VMAT)和质子治疗等国内外先进治疗手段,为肿瘤患者带来更精准、高效的肿瘤治疗。

▲扫码关注

肿瘤科公众号“希爱俱乐部”


《漫谈肿瘤》科普小分队

科普医生

曹 宏

肿瘤内科 副主任医师

现任中国人体健康科技促进会质子重离子分会委员;苏州营养与健康协会肿瘤放疗营养专委会委员;昆山市医学会肿瘤分会委员。从事肿瘤治疗20余年,曾至复旦大学附属肿瘤医院,江苏省肿瘤医院进修。擅长中西医结合治疗恶性肿瘤,主攻恶性肿瘤放射治疗。头颈部肿瘤、肺癌、食管癌、肠癌、乳腺癌等肿瘤的放化疗。门诊时间:每周四。

审核专家

杨文娟

肿瘤内科 主任中医师

医学博士,师从岐黄学者、全国名中医吴勉华教授。中国老年学和老年医学学会肿瘤康复分会委员,江苏省中医药学会内科专业委员会青年委员,江苏省中医药学会痛症专业委员会委员,江苏省老年学学会中西医结合诊疗专业委员会委员,苏州市中医药学会浊毒专业委员会副主任委员,苏州市中西医结合放疗专业委员会青年委员,苏州中医药学会中医肿瘤专业常务委员,苏州市医学会肿瘤学会临床研究学组成员,昆山市医学会肿瘤专业委员会委员。擅长:主要从事恶性肿瘤的中西医结合治疗,尤擅长胃癌、肠癌、肺癌、宫颈癌等消化系统、呼吸系统及妇科肿瘤的中医药和中西医结合治疗;并对于中医药防治放、化疗及靶向治疗不良反应亦有深入的研究。门诊时间:每周一。


来源:昆山市中医医院



本帖评分记录
高维豪 昆币 +1 -来自昆山论坛APP 02-06
1条评分昆币+1
爆料有奖!关注昆山论坛抖音号,抖音搜索“昆山论坛”,或搜索抖音号:ksbbs
 
离线wzh1965
发帖
2501
昆币
3658 枚
沙发  发表于: 02-06 , 来自:江苏省0==
  
爆料有奖!关注昆山论坛抖音号,抖音搜索“昆山论坛”,或搜索抖音号:ksbbs
 
快速回复
限76 字节
如果您在写长篇帖子又不马上发表,建议存为草稿
 
上一个 下一个