夜间模式
  • 10335阅读
  • 0回复

[百姓话题]肿瘤破裂!一根导管,止住致命出血 [复制链接]

上一主题 下一主题
发帖
794
昆币
13058 枚
只看楼主 使用道具 电梯直达
楼主  发表于: 2025-12-23 , 来自:江苏省0==

近日,昆山市第一人民医院介入治疗科,通过“经动脉介入栓塞术”成功救治一名因小肠肿瘤破裂导致大出血的患者。

肿瘤破裂,出血不止

王先生,68岁,有肿瘤病史,此次突发大量便血、血压下降,病情危急。尽管医护团队第一时间给予了积极的抢救治疗,仍无法遏制汹涌的出血势态,出血像关不上的“水龙头”,持续不断。

每一分钟的流逝,都意味着患者生命力的流失和风险的急剧攀升,如果不能迅速找到出血点并彻底止血,后果不堪设想。

微创介入,直面挑战

多学科会诊考虑,开放手术创伤大、风险高,且患者状况可能难以承受。

时间就是生命!介入治疗科团队临危受命!

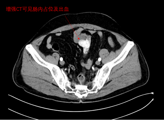
介入治疗科副主任医师肖荣紧急会诊。他快速研判患者病情,结合其肿瘤病史,敏锐地分析了最新的腹部增强CT影像,发现出血并非普通溃疡或血管畸形,而是由小肠肿瘤破裂所致。

介入治疗科团队决定,为患者施行血管造影探查+动脉栓塞术。这是一种创伤小,能直达病灶止血的微创治疗方法。然而,手术对医生团队的考验在于,在肠道丰富的血管脉络网中,迅速、准确地找到那根正在出血的血管,要求医生具备高超的影像实时解读能力和大量丰富的手术经验。

精准制导,化险为夷

在导管室团队的辅助下,肖荣带领团队按照既定手术方案稳步操作,根据血管造影实时显示屏上,清晰的影像验证了术前判断:出血源头正是肠系膜上动脉的一根分支血管。

微导管在DSA辅助下,灵巧地穿梭,将导管尖端稳稳地置于目标血管的理想位置。经过慎重选择的栓塞材料被精准释放,如同精确制导的“塞子”,牢牢堵住了血管破口。

术后造影确认,原先造影剂外溢的出血点完全消失,被成功封堵;而周围的正常肠管血管网络显影良好,提示血供正常。

昆山市一医院介入治疗科依托多学科协作的综合优势,持续提升急危重症出血性疾病的综合救治能力与快速应急反应水平。

科室核心技术——经导管动脉栓塞术,具有微创、精准、高效的优势,已成为处理各类急性、难治性出血的首选或关键治疗手段。团队凭借丰富的临床经验、精湛的技术与高度的责任感,在毫米级的血管通道中实施精准治疗,以专业和高效持续守护市民健康。

专家介绍






肖 荣

副主任医师

PROFILE

硕士研究生、2010年毕业于苏州大学介入放射专业

曾荣获2013年北美放射介入国际奖学金,并在本专业上发表多篇文章

擅长:肺结节消融治疗、前列腺增生疾病、肝血管瘤、肝胆胰恶性肿瘤介入治疗:肝/肺/肾/子宫/腹盆腔动静脉畸形、肺隔离症、异常体动脉供应左下肺基底段、脾/肾动脉瘤、痔疮、盆腔淤血综合症介入治疗;子宫肌瘤与腺肌症介入治疗;胃肠道狭窄/梗阻、胆道梗阻介入治疗


作者简介






侯凯文

住院医师

PROFILE

医学硕士,毕业于苏州大学

曾在国内核心期刊发表多篇论文

擅长:介入治疗科常见病的诊断与治疗,子宫肌瘤与腺肌症的介入治疗



来源:昆山市第一人民医院


本帖评分记录
於少 昆币 +1 -来自昆山论坛APP 2025-12-23
1条评分昆币+1
爆料有奖!关注昆山论坛抖音号,抖音搜索“昆山论坛”,或搜索抖音号:ksbbs
 
快速回复
限76 字节
如果您提交过一次失败了,可以用”恢复数据”来恢复帖子内容
 
上一个 下一个