夜间模式
  • 7063阅读
  • 0回复

[百姓话题]一只河虾从嗓子眼直往下冲……医生紧急“捉虾” [复制链接]

上一主题 下一主题
离线期限
发帖
4924
昆币
58708 枚
只看楼主 使用道具 电梯直达
楼主  发表于: 09-09 , 来自:江苏省0==

气道里误入食物的情况很常见,尤其是当人们狼吞虎咽时,误入气道的食物瞬间阻塞呼吸道,引发窒息危机。儿童和老人因吞咽功能较弱,更容易发生类似意外。

近期,杨先生在午餐时,突然剧烈咳嗽……在昆山市第一人民医院呼吸与危重症医学科团队的帮助下,从杨先生的气道内取出一只完整的河虾,随之解除其气道刺激性呛咳的症状。本是一顿美餐,差点酿成大祸。


“食”客的疏忽


杨先生用餐时,不小心将一只河虾误吸入气道,虾从嗓子眼直往下冲,一股刺痛感瞬间袭来,仿佛有根细针在喉间搅动,进而他开始剧烈呛咳。

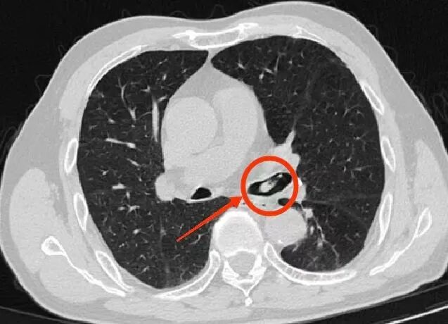
图片

胸部CT显示,河虾已经下滑并卡在左主支气管管口。

气管是身体吸入空气的专属通道,一旦被食物或其他异物堵塞,后果极其凶险。气管被部分堵塞会出现反复咳嗽,未及时取出异物可能导致反复肺炎、肺脓肿;气管被异物完全堵塞,意味着气体无法进入下呼吸道,导致窒息,短短几分钟即可致命。

杨先生的的情况紧急。


有“镜”无险


呼吸与危重症医学科副主任李涛立即安排支气管镜检查,在纤细的镜管探入下,只见那只虾顽固地嵌在支气管管口,周围黏膜已微微红肿。李涛屏息凝神,用微型钳子轻柔夹取至咽喉部,这只“误入歧途”的河虾经杨先生口中咳出。

图片
图片

杨先生喉间的刺痛感消退,呛咳也逐渐停止。

回忆起这个惊险的经历,杨先生仍心有余悸。医护人员提醒,进食务必专注细嚼,须“食”刻警惕,以防类似险情重演。


图片
图片


Q1

气管内常见异物有哪些?


食物类

鱼刺、鸡鸭骨碎片、大块肉(尤其是肥肉、筋多的肉)、坚果、带核水果(如枣核)、黏性食物(年糕、汤圆)、虾蟹(常见且危险!)。

非食物类

松动脱落的假牙或假牙部件、未咽下的药片/胶囊。

危险时刻

吃饭时说话、大笑、注意力不集中(如看电视)、匆忙进食、仰头服药。

图片



Q2

气道异物的临床表现有哪些?


反复咳嗽、喉鸣、气促,甚至呼吸困难等。

图片



Q3

用餐时,突然发生食物误入气管导致呼吸困难,该怎么办?


如果进食中,突然出现呛咳、无法咳嗽、呕吐、不能发音、憋气、脸色发紫等窒息症状,应立即实施海姆立克急救法,并尽快呼叫专业救护人员。

图片

海姆立克急救法要点可以通过“剪刀、石头、布”口诀来记忆:

剪刀

施救者呈弓步状,前脚置于堵塞者两脚之间,双手从后腰环抱患者,两根手指并拢,像一个闭合的剪刀,放在肚脐上方2横指位置,即按压点。

石头

紧握拳头,用拳眼顶住刚刚找到的位置。

把另一只剪刀手撤出来,手掌包住拳头。然后用力反复用力冲击腹部,直到将异物排出。

如果自己独自进食,出现这种情况,找不到其他人救助,我们也可以寻找借力物体(比如桌边、椅背等)自救。

图片


Q4

什么是气管镜取异物?


气管镜是一种带有光源和摄像头的细长管道,通过鼻腔或口腔进入气道,医生可直观观察气管、支气管内的异物,并通过器械将其取出。

气管镜下取异物是目前治疗气管异物的主要微创手段,适用于急救处理(如海姆立克法)无效或异物较大、位置较深的情况,是挽救生命的关键技术。



Q5

如何预防气管异物?


1.“食”刻警惕

专注进食:吃饭时不说话、不笑闹、不看电视,专心咀嚼吞咽。

细嚼慢咽:食物(尤其是肉类、带刺带壳水产)务必充分嚼碎。

姿势正确:坐直身体进食,避免仰头或躺着吃。

图片

2.安全服药

用温水送服,服药时坐直,不要干吞或仰头猛灌。吞咽困难者可咨询医生选用液体制剂或研碎(注意某些肠溶片/缓释片不可研碎)。


3.家人关注

留意老人进食情况,发现频繁呛咳、不明原因咳嗽或肺炎,应主动告知医生有无呛咳史。


4.学习急救

应掌握海姆立克急救法(针对清醒成人)和心肺复苏(CPR)技能,以备不时之需。


作者简介






图片

钟恩健

主治医师

PROFILE

医学硕士

擅长:呼吸内科常见病诊治,胸腔积液、肺部感染、支气管哮喘、肺恶性肿瘤的治疗


审核专家简介






图片

李 涛

主任医师

PROFILE

科副主任(主持工作)

中国医药教育协会肺部肿瘤专委会委员,江苏省医学会呼吸病学分会基层学组委员,江苏省免疫学会感染免疫专委会委员等

擅长:肺癌的诊断和全程管理、呼吸系统危重症及疑难病等,精通呼吸内镜下各种介入诊疗技术:EBUS-TBNA、热消融术、冷冻治疗、球囊扩张、支架置入术、内科胸腔镜等。


来源:昆山市第一人民医院


本帖评分记录
拆南墙 昆币 +1 -来自昆山论坛APP 09-09
影风 昆币 +1 -来自昆山论坛APP 09-09
倾城风雪 昆币 +1 -来自昆山论坛APP 09-09
与浓浓榴莲 昆币 +1 -来自昆山论坛APP 09-09
好人一 昆币 +1 -来自昆山论坛APP 09-09
5条评分昆币+5
爆料有奖!关注昆山论坛抖音号,抖音搜索“昆山论坛”,或搜索抖音号:ksbbs
 
快速回复
限76 字节
如果您在写长篇帖子又不马上发表,建议存为草稿
 
上一个 下一个