夜间模式
  • 14307阅读
  • 0回复

[百姓话题]致命“鼻出血”,昆山市一医院急诊科与介入科“双强”出击! [复制链接]

上一主题 下一主题
发帖
3242
昆币
77797 枚
只看楼主 使用道具 电梯直达
楼主  发表于: 2024-10-14 , 来自:江苏省0==

近期,79岁的王奶奶(化名)

因“车祸致头、四肢多处疼痛2小时”

在昆山市一医院急诊医学科就诊

大量鲜血不断从口鼻腔涌出

血压不断下降并出现休克症状

意识不清伴窒息高风险


介入治疗科

通过经动脉介入栓塞术成功止血

挽救了患者的生命

为后续救治创造了条件和希望

图片

外伤致大量鼻出血

鼻腔内填塞效果欠佳

对于鼻出血

首选鼻腔内填塞治疗

利用填塞物填塞鼻腔

压迫出血部位

使破裂的血管形成血栓达到止血目的


由于王奶奶面部受伤严重

鼻腔内填塞治疗后仍有活动性出血

血压持续下降


图片

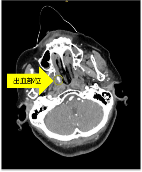
结合头面部增强CT检查

判断为面部骨折导致的血管破裂

进而引起大出血

若不及时止血,随时会危机生命

图片

先保证气道正常通气

防止窒息

大量鲜血从口鼻腔涌出时

部分血液或血凝块可能误入气道

导致无法正常呼吸

此时患者可能出现窒息


急诊医学科

一边紧急联系介入治疗

一边进行气管插管保持正常通气功能

竭力维持恰当的血压条件

为转运及手术创造相对安全的条件

图片

再行介入栓塞治疗

新思路止血

鼻供血来源于多组动脉

局部受伤后可因出血迅猛危及生命

当传统的止血效果不佳时

介入栓塞治疗成为了一种新的止血思路


介入治疗科团队

为患者局部麻醉后

经股动脉处“米粒”般大小的创口

通过动脉血管这一“自然管道”

将导管精准放置于双侧颌面部

行头面部血管造影探查

证实因面部骨折创伤

引起的周围小血管破裂

图片

通过微创方法在血管内填塞栓塞材料

成功封堵住出血血管

患者口鼻腔出血即刻停止


后续治疗中

昆山市一医院与患者共同攻克

休克、凝血功能异常、感染等难关

一周后,患者转入普通病房康复治疗


鼻出血是临床常见疾病

其病因复杂,出血量差异较大

严重鼻出血可危及生命

介入微创治疗能快速精准止血

挽救患者的生命

图片


图片
图片

昆山市第一人民医院



图片

介入治疗科

图片

昆山市第一人民医院介入治疗科成立于2023年,是中国县域医院出血中心联盟理事单位。

科室积极参与急诊出血病人的救治工作,包括内脏破裂出血、骨盆骨折大出血、咯血、消化道出血、鼻出血等。与医院多学科合作打造出血中心建设,为广大百姓健康保驾护航。


急诊医学科

图片

昆山市第一人民医院急诊医学科为苏州市临床重点专科。

目前建有国家级胸痛中心、苏州市卒中中心、苏州市创伤中心、危重孕产妇中心、危重新生儿救治中心,并致力于打造区域急危重症医学中心。

团队坚持打造创伤救治团队,第一时间响应严重创伤救治,通过多学科协作、规范化救治、精细化管理提高创伤患者救治成功率。

图片



来源:昆山市第一人民医院

本帖评分记录
奋斗之道 昆币 +1 -来自昆山论坛APP 2024-10-14
1条评分昆币+1
爆料有奖!关注昆山论坛抖音号,抖音搜索“昆山论坛”,或搜索抖音号:ksbbs
 
快速回复
限76 字节
如果您提交过一次失败了,可以用”恢复数据”来恢复帖子内容
 
上一个 下一个