夜间模式
  • 13131阅读
  • 0回复

[昆山要闻]昆山市一医院鼻内镜下成功切除颅底恶性肿瘤 [复制链接]

上一主题 下一主题
美女离线媛若惜
发帖
3716
昆币
63746 枚
只看楼主 使用道具 电梯直达
楼主  发表于: 2024-01-19 , 来自:江苏省0==

近日,昆山市一医院耳鼻咽喉头颈外科应用鼻内镜手术为一名患者成功切除颅底恶性肿瘤,患者获得快速康复。


图片


图片
图片
图片

面部胀痛,原来是鼻腔内长了肿瘤


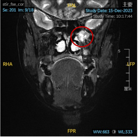
周女士,今年50多岁,3个月前她突然感觉左侧面部胀痛,反复出现,有时咳痰还带血,症状越来越严重……周女士和家人非常着急,来到昆山市一医院耳鼻咽喉头颈外科就诊,门诊医生通过鼻内镜观察到,周女士的左侧下鼻道内有红色肿物!通过增强CT检查显示:红色肿物来源于左侧后鼻腔及左侧翼腭窝,肿物病理结果:腺样囊性癌,医院安排周女士入院治疗。


图片
图片
图片

位置隐蔽,采用鼻内镜微创手术


在耳鼻咽喉头颈外科主任邓建华的带领下,丁小军副主任团队详细评估周女士的病情,考虑肿瘤位置翼腭窝的解剖位置深,毗邻器官复杂,如用传统手术方式,需要在面部中线切开,切除较多鼻腔外侧壁,方能暴露翼腭窝;如果采用鼻内镜手术方式,则经鼻腔进入,切除上颌窦内侧壁、后外侧壁即可暴露翼腭窝,相对而言,创伤较小,入路灵活,切除周围组织少,能够获得较好的预后。

于是,耳鼻咽喉头颈外科联合麻醉科共同做好详细的术前计划,同时耐心细致的做好病情沟通,取得了周女士和家属的理解配合。

图片

术前

图片

术后

图片
图片
图片

排除万难,成功切除颅底肿瘤


丁小军团队在鼻内镜术中发现:肿物向前下方附着于前颅底,翼管神经、上颌神经和腭大神经已贯穿入肿瘤内部,情况非常复杂和艰难!历时三个半小时,终于从颅底骨质**肿物和肿物所侵犯的神经全部分离和切除。术后磁共振检查显示:肿物完全切除,翼内肌、翼外肌安全保留。

术后第5天,通过耳鼻咽喉头颈外科医护团队的精心照护,周女士已顺利康复出院。


图片
图片

昆山市第一人民医院

耳鼻咽喉头颈外科

图片
图片

昆山市第一人民医院耳鼻咽喉科建立于上世纪50年代,独立建科于1983年,2021年更名为耳鼻咽喉头颈外科。科室现拥有医师17名,听力技师2名,其中主任医师3名,副主任医师5名,开放床位40张。

学科带头人邓建华主任,主任医师,硕士研究生导师,科室下设三个亚专科:耳科学组、鼻科学组、咽喉头颈肿瘤学组。耳科学组又分为耳外科学组和耳内科学组。

耳科学组开展了慢性中耳炎、神经麻痹(面瘫)、先天性或后天性外耳道狭窄或闭锁、耳部及颞下窝恶性肿瘤、耳源性眩晕、前庭功能疾患、突发性耳聋等手术及内科治疗。

鼻科学组常规开展了鼻腔鼻窦微创手术,如慢性鼻窦炎、鼻息肉、鼻腔鼻窦良恶性肿瘤、鼻中隔偏曲、鼻出血等的手术治疗。鼻腔与颅内、眼眶、口腔的解剖结构毗邻,交通复杂,近年来,鼻内镜下前、中颅底肿瘤切除手术逐渐成熟,此外还开展了先进的鼻眼相关手术:如鼻内镜下鼻腔泪囊吻合、经鼻腔眶内减压术、视神经减压术等。2023年成功开展的鼻内镜下鼻-颅底交通性肿瘤切除及颅底修复重建技术达到省内先进水平。

咽喉头颈肿瘤学组通过各型手术系统,成熟开展咽喉部各型显微及微创手术,治疗早期喉良恶性肿瘤、喉癌前病变、声带小结、声带息肉、腺样体及扁桃体等离子射频消融术、悬雍垂腭咽成形术、腮腺、颌下腺、甲状腺肿瘤手术、咽旁间隙肿瘤手术等。

科室注重科、教、研、临床并重的指导思想,全科人员积极参加国内外学术会议,掌握新技术进展并积极应用于临床治疗之中。

门诊便民信息






图片
图片


来源:昆山市第一人民医院

本帖评分记录
人生漫步 昆币 +1 -来自昆山论坛APP 2024-01-20
1条评分昆币+1
爆料有奖!关注昆山论坛抖音号,抖音搜索“昆山论坛”,或搜索抖音号:ksbbs
 
快速回复
限76 字节
如果您提交过一次失败了,可以用”恢复数据”来恢复帖子内容
 
上一个 下一个