夜间模式
  • 12005阅读
  • 2回复

[昆山要闻]昆山市一医院神经外科成功切除颅内功能区巨大脑膜瘤 [复制链接]

上一主题 下一主题
离线期限
发帖
4924
昆币
58708 枚
只看楼主 使用道具 电梯直达
楼主  发表于: 2024-01-05 , 来自:江苏省0==

图片
图片

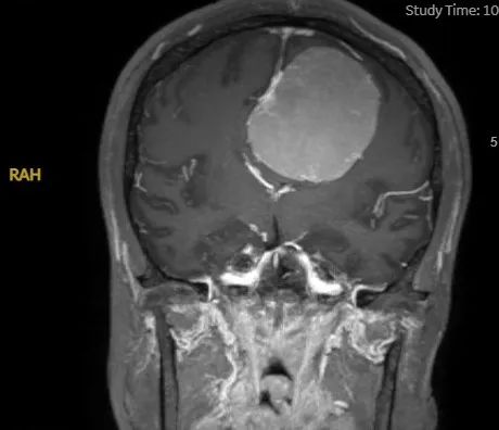
头痛半年,居然是脑袋里长了瘤

43岁的潘女士,间断头痛伴右侧肢体乏力半年,开始没有引起重视,近来越来越频繁,影响了日常工作和生活。

11月15日,潘女士来到昆山市一医院神经外科就诊,查CT见巨大颅内占位,立即安排住院,通过放射科绿色通道安排,第2天进行了核磁共振(MRI)平扫+增强检查,结果显示:纵裂硬脑膜脑膜瘤(大小约60*56.5*58mm)。

图片

手术前

图片

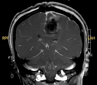
手术后

图片

脑瘤体积大,手术难度高

神经外科张曙光主任团队充分评估潘女士的病情,主要考虑潘女士的脑部肿瘤起源于下矢状窦附近,个头巨大,血供极其丰富,手术中稍有不慎就可能出现偏瘫、失语甚至生命危险。神经外科联合麻醉科共同做好详细的术前计划,同时耐心细致做好病情沟通,取得潘女士和家属的理解配合。

11月23日,张曙光主任团队术前详细规划,借助显微镜标记出中央沟位置,从中央前沟前方脑沟自然间隙进入从脑组织自然间隙中进入脑肿瘤位置,避免损伤脑部重要结构,历经6个小时,终于如抽丝剥茧般完整切除了肿瘤。

图片

摘除“炸弹”,回归家庭

术后复查MRI,报告显示潘女士的脑膜瘤已完整切除。通过神经外科医护团队的精心照护,潘女士术后第7天已能下地活动,目前已康复出院 。术后复查核磁共振(MRI),报告显示潘女士的脑膜瘤已完整切除。


图片
图片

昆山市第一人民医院


神经外科

图片
图片


勇于创新 精益求精

昆山市第一人民医院神经外科创建于1980年,逐步发展壮大后独立成科,2007年成为昆山市临床重点专科。科室设置标准病区床位45张;有主任医师5名、副主任医师5人、主治医师2名;博导1人、硕导4人;博士4名,硕士9名。

科室熟练开展显微神经外科技术和神经内镜微创手术,完成听神经瘤、垂体瘤、颅内动脉瘤夹闭等手术,开展神经介入手术如动脉瘤栓塞术等,在重型颅脑损伤救治方面积累丰富经验。

2010年,科室获医院首个国家自然科学基金资助项目(简称国自然)截至目前,共获国自然项目5项,中国博士后科学基金项目2项,江苏省级、江苏大学和苏州市级课题多项。近5年以第一作者/通讯作者或参与发表SCI论文62篇。科室承担江苏大学、南京医科大学、中国医科大学研究生、本科生等培养工作。

科室于2005年与上海华山医院开展技术联盟合作,逐渐建立与江苏省人民医院、苏大附一院神经外科的合作,为市民提供优质医疗服务。

神经外科门诊安排






周一:张曙光主任医师

周二:杨鉴主任医师、程峰副主任医师

周三:石磊主任医师、何豹主治医师

周四:周金方主任医师 贡伟一副主任医师

周五:潘天鸿主任医师

周六:王文明主任医师 刘华副主任

周日;李晓良副主任医师


图片


来源:昆山市第一人民医院

本帖评分记录
不再缄默 昆币 +1 -来自昆山论坛APP 2024-01-06
高维豪 昆币 +1 -来自昆山论坛APP 2024-01-05
2条评分昆币+2
爆料有奖!关注昆山论坛抖音号,抖音搜索“昆山论坛”,或搜索抖音号:ksbbs
 
帅哥在线王乾坤
级别: 禁止发言
发帖
3658
昆币
279 枚
沙发  发表于: 2024-01-05 , 来自:江苏省0==
用户被禁言,该主题自动屏蔽!
爆料有奖!关注昆山论坛抖音号,抖音搜索“昆山论坛”,或搜索抖音号:ksbbs
 
帅哥在线lamarodom
级别: 昆山名人

发帖
179094
昆币
433763 枚
板凳  发表于: 2024-01-05 , 来自:江苏省0==
    
爆料有奖!关注昆山论坛抖音号,抖音搜索“昆山论坛”,或搜索抖音号:ksbbs
 
快速回复
限76 字节
批量上传需要先选择文件,再选择上传
 
上一个 下一个